
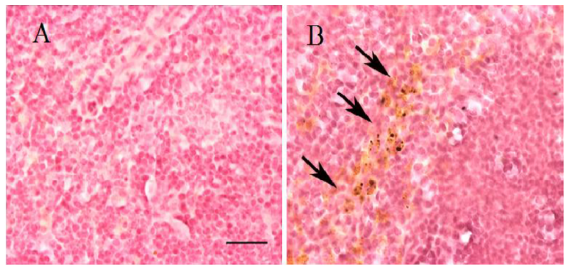
Since its original conception, nanotechnology has emerged as a leading area of research offering significant benefits to society through applications and technological developments that have revolutionized various areas of science. In the health sector, the use of nanotechnology, also known as nanomedicine, has benefited the health system in areas of diagnosis and therapy though the introduction of more efficient, localized, and personalized techniques. The use of Magnetic Nanoparticles (MNPs) for biomedical purposes has generated a great interest due to their unique physical properties, which can lead to new therapeutic methods. However, there is a need for understanding the magnetic nanoparticles properties and their interactions with living organisms to develop safer and more efficient therapies. Moreover, the lack of studies focused on the analysis of nanoparticles distribution and final destination in the body after a therapy, in addition to the toxicological problems that it can generate, has slowed down the commercial acceptance of many therapies that utilize nanomaterials. This situation is due both to an underestimation of the study of nanotoxicology and to the difficulty of implementing effective monitoring and detection techniques. Therefore, this thesis seeks to give a direct answer to these issues still completely unresolved. For this reason, an exhaustive measurement protocol was designed in order to carry out an appropriate characterization of MNPs distributed in biological tissues from experimental mouse models, which a dose of MNPs was previously administered. Additionally, the characterization of MNPs suspended in viscous fluids (deionized water and fibroin solutions) and internalization into cultured cells were performed. Through this study, also intends to demonstrate and to assess the feasibility of the measurement methods as an useful tool to perform the study of the magnetic behavior of the MNPs suspended into viscous fluids and their internalization into cell cultures and ex-vivo tissues. In order to carry out the magnetic characterization of the nanoparticles, the Laboratory of Bioinstrumentation and Nanomedicine (LBN) of the Centre for Biomedical Technology (CTB) of the Technical University of Madrid (UPM), has a platform of functional characterization of MNPs. This platform corresponds to Unit 15 of the system NANBIOSIS-ICTS driven by the Centre for Biomedical Research Network Bioengineering, Biomaterials and Nanomedicine (CIBER- BBN) to promote the biotechnology research. The Unity of functional characterization of MNPs is composed by two devices: an Alternating Gradient Magnetometer MicroMagTM 2900 (AGM System) and a Fast Field Cycling Relaxometry (FFCR). The saturation magnetization of the magnetic materials is measured by an AGM. Their high sensibility and precision make these especially attractive to characterize MNPs. The relaxation times and dispersion profiles of the MNPs are measured with the FFCR. It is important to mention that an adaptation of the AGM’s probe was necessary through the manufacturing of a sample holder with specific characteristics to carry out the study of the magnetic behavior of nanoparticles suspend in viscous fluids and internalized into cell cultures. The results obtained showed the validity of the procedures since it was possible to efficiently observe differences in the magnetic behavior of the nanoparticles according to the time and type of tissue. Overall, it was noticed that after the injection, the nanoparticles travel through the bloodstream during the first hours and over time these are eliminated via urine or deposited in some organs. One month after administrating the injection of the MNPs, an accumulation of nanoparticles was detected in the spleen and liver, thus indicating a response of the reticuloendothelial system (RES). However, in the brain was not detected any accumulation of MNPs during the time the study last (1 month), indicating that MNPs did not cross the blood-brain barrier (BBB). On the other hand, a decrease in the saturation magnetization of the MNPs was observed depending on the viscosity of the medium and the concentration of the magnetic material. This change is caused by the dipole-dipole interactions, the formation of clusters or chains, and the hindrance of magnetic moments to align with the magnetic field by increasing the viscosity of the medium and the concentration. Furthermore, it was possible to detect a decrease in the saturation magnetization of the nanoparticles when they were internalized into the lysosomes. The variation caused by the encapsulation of the MNPs in the lysosomes causes a decrease in the degrees of freedom of the magnetic moments of the MNPs and the formation of aggregates. On the other hand, an increase in the relaxation induced by the increased viscosity of the fluid was observed because the surface of the MNPs is protected against free water by the fibroin matrix. This leads us to conclude that fibroin matrix could be a good coating agent for MNPs. In general, the viability of Unit 15 was verified as an efficient and versatile tool to carry out studies on the biodistribution and monitoring of MNPs through the study of ex-vivo tissues. Likewise, this tool allows research on the physical properties of MNPs suspended in viscous fluids and internalized into cell cultures.